fbpx
Buscar:
Llámanos al 964 10 11 21
C/ Mayor 21, 2º, 1, Castellón




Bianca

HISTORIA DE UNA SONRISA

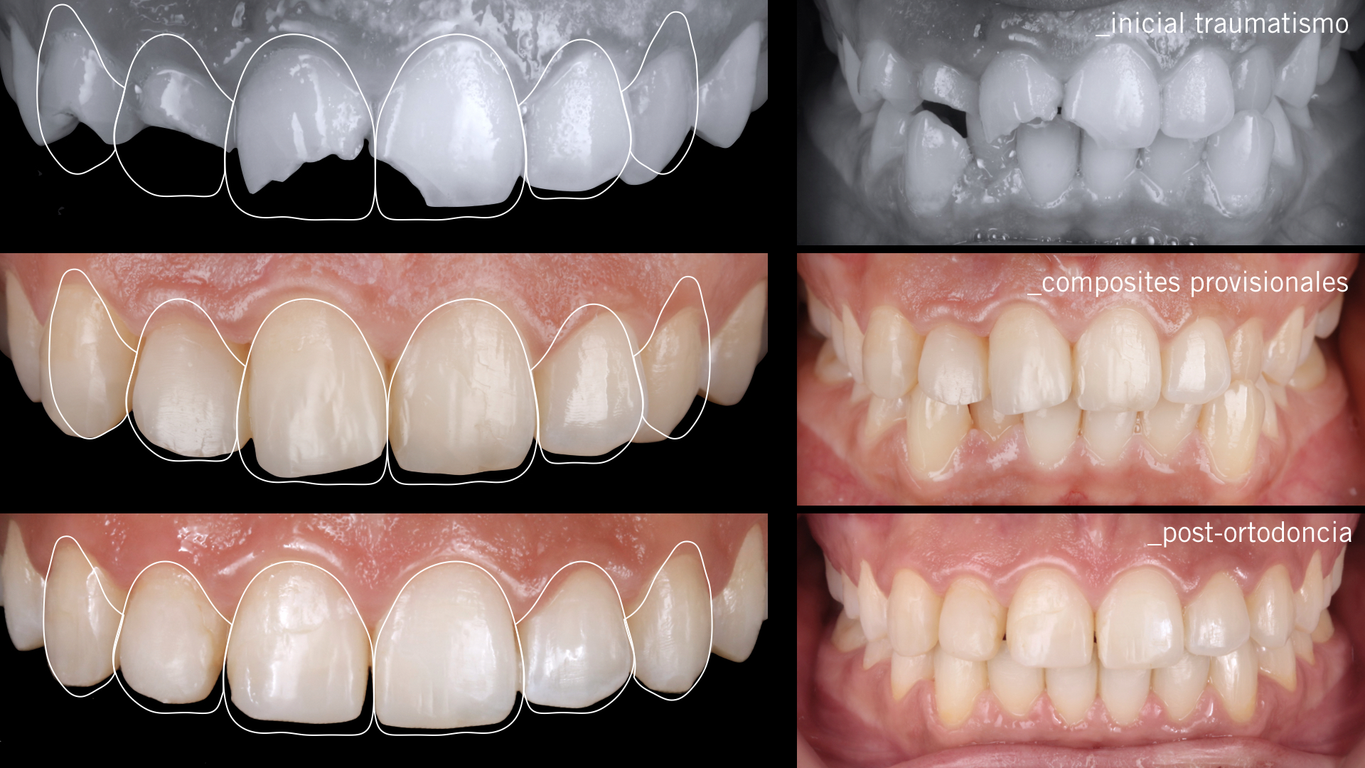
Si hay una situación que requiera toda nuestra energía como equipo es cuando nos enfrentamos a un reto no solamente estético, sino para salvar los dientes anteriores en una chica joven tras un traumatismo por accidente de tráfico con fracturas dentales múltiples.

En estos casos, lo principal es un buen abordaje temprano tras el accidente, donde nuestra máxima prioridad es conservar los dientes y a ser posible vitales, sin tener que tratar el nervio. Para ello, nos ayudamos del diagnóstico por la imagen en 3D con haz de conos CBCT y de materiales restauradores temporales para devolver una estética inmediata a la paciente.

Una vez realizado el abordaje agudo tras el traumatismo, abordamos el alineamiento dental, dado que tras el trauma, algunos dientes además de fracturarse se desplazaron de su posición inicial. Para lograr un resultado final con materiales altamente estéticos como la situación requería y duraderos en el tiempo, recurrimos a un tratamiento combinado con carillas de porcelana en los dientes más afectados y con composites estéticos para pequeños retoques en algún diente adicional.

Las carillas de porcelana se diseñaron y produjeron con técnicas digitales CAD-CAM empleando formas y texturas naturales copiadas de dientes reales. Ello permitió conseguir un resultado impecable y perfectamente integrado con el resto de la dentición.

Siempre nos satisface crear sonrisas, pero devolverlas a jóvenes con la energía tan positiva es altamente reconfortante para todas las personas que formamos parte de la clínica Berbís Estela.

VER MÁS

SITUACIÓN INICIAL

Traumatismo dental.

TRATAMIENTO

Ortodoncia.

 

Blanqueamiento.

 

Composites estéticos.

 

Carillas de porcelana.

);